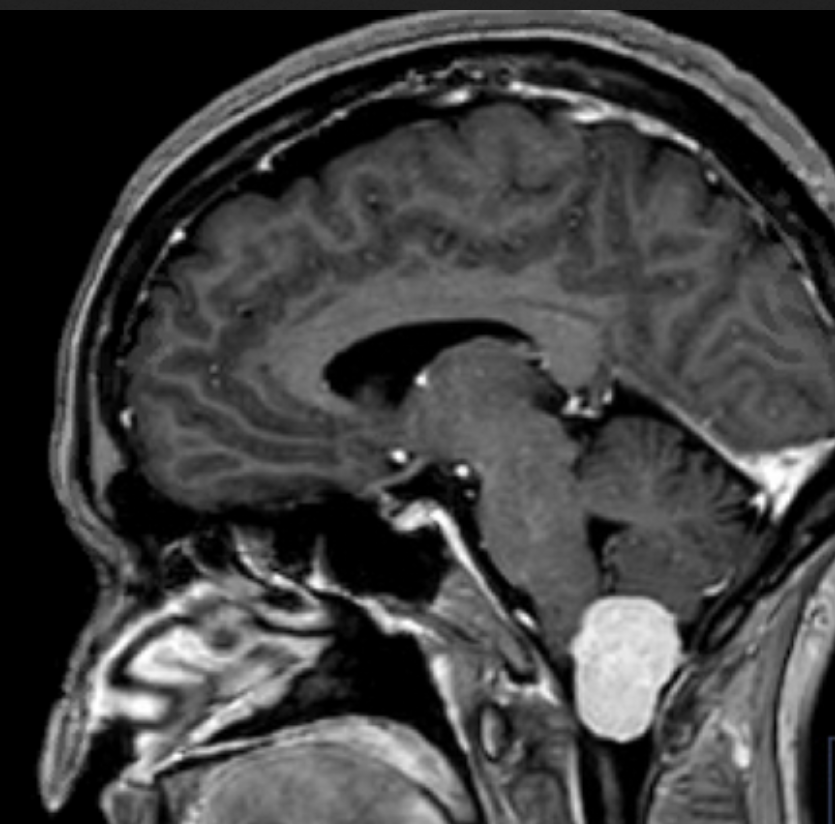
I just pulled this random brain MRI image off the web, uploaded it to Grok and said "analyze this." Here's what Grok came back with:
The image you’ve provided appears to be a sagittal (side view) magnetic resonance imaging (MRI) scan of a human brain. Here’s a detailed analysis based on the visual characteristics:
General Observations:
- Type of Scan: This is an MRI, likely a T1-weighted or T2-weighted image, given the contrast and grayscale appearance typical of brain MRIs. The scan shows detailed anatomical structures of the brain, including the cerebral cortex, cerebellum, brainstem, and spinal cord.
- Orientation: The image is in the sagittal plane, providing a side view of the brain and upper spinal cord, slicing through the midline of the head.
- Quality: The image is clear, with good resolution, allowing for the identification of major brain structures and potential abnormalities.
Key Anatomical Structures:
- Cerebral Cortex: The outer layer of the brain, with its characteristic folds (gyri) and grooves (sulci), is visible at the top of the image. The gray matter of the cortex contrasts with the underlying white matter.
- Cerebellum: Located at the lower back part of the brain, the cerebellum is visible with its folded structure, responsible for coordination and balance.
- Brainstem: The brainstem, connecting the brain to the spinal cord, is seen extending downward from the cerebellum. It includes structures like the midbrain, pons, and medulla oblongata.
- Spinal Cord: The upper portion of the spinal cord is visible at the bottom of the image, extending downward from the brainstem.
- Ventricles: The lateral and third ventricles, part of the brain’s fluid-filled system, are faintly visible as darker areas within the brain tissue, though they’re not as prominent in this sagittal view as they would be in a coronal or axial slice.
- Pituitary Gland: A small, rounded structure near the base of the brain, just above the brainstem, is likely the pituitary gland, which regulates hormones.
Potential Abnormalities or Features:
- White Spot at the Base of the Brain: There appears to be a bright, rounded spot near the base of the brain, close to the pituitary gland or hypothalamus region. This could represent a variety of things, such as:
- A benign cyst or lesion (e.g., a pineal cyst, which is common and often harmless).
- A calcification or artifact (bright areas on MRI can sometimes be due to imaging artifacts or contrast agents).
- A tumor or other pathology, though this would require further evaluation by a radiologist or neurologist to determine its nature (benign or malignant, size, etc.).
- Symmetry and Structure: The brain appears generally symmetrical, with no obvious large-scale asymmetry or significant structural deformities visible in this single slice. However, a full assessment would require multiple planes (axial, coronal) and possibly additional imaging sequences (e.g., FLAIR, diffusion-weighted imaging).
- No obvious signs of major trauma, bleeding, or large masses: There are no visible signs of large hemorrhages, significant edema (swelling), or obvious tumors based on this single image. However, small or subtle abnormalities might not be detectable without additional context or scans.
Limitations of My Analysis:
- No Clinical Context: I don’t have access to the patient’s medical history, symptoms, or other imaging studies, which are critical for a complete diagnosis. This analysis is based solely on the visual appearance of the image.
- Single Slice: A single sagittal MRI slice provides limited information compared to a full series of images (axial, coronal, sagittal) or different MRI sequences (T1, T2, STIR, etc.).
- Expertise: While I can describe anatomical features and potential findings, I’m not a medical professional, and this analysis is not a substitute for evaluation by a radiologist, neurologist, or healthcare provider.
Next Steps (If Applicable): If this MRI is part of a medical evaluation, a radiologist would review it in conjunction with the patient’s history, symptoms, and other tests to determine if the bright spot or any other features indicate a condition requiring attention. Common next steps might include:
- Comparing with previous scans to assess changes over time.
- Ordering additional MRI sequences or other imaging (e.g., CT scan).
- Consulting a neurologist or endocrinologist, especially if the bright spot is near the pituitary or hypothalamic region.
If you’d like me to search the web for more information about MRI findings, specific brain structures, or potential diagnoses related to this image, I can offer to do so. Otherwise, I recommend consulting a medical professional for an accurate interpretation and diagnosis. Let me know how I can assist further!
 |